
呼吸器グループ
肺の中枢部にできた進行肺がんの手術では、気管支や、血管を合併切除しなければならず、患部を切り取り、分断された気管支や血管を体内で吻合するスリーブ切除が行われています。
しかし、がんに侵された部分が広範囲で、気管支・肺動脈・肺静脈などの切除範囲が大きくなると肺全摘出を余儀なくされているのが現状です。 肺全摘では、術後の呼吸機能は大きく低下し、右全摘では45%、左全摘では55%しか残りません。がんは治ったけど、日常生活を送るのがやっとであるなど、手術後の呼吸不全やquality oflife【生活の質】の低下が問題となっています。また手術関連の合併症の確立も高く、たとえば残った片肺に肺炎が起これば、少ない呼吸機能に追い打ちをかけることになり、術後死亡率も通常の肺葉切除と比べ高いのが現状です。
岡山大学では肺全摘出術が必要と診断された中枢型進行肺癌に対し、一旦肺全摘を行い、肺移植の技術を使って肺を保存処理し、その後まだがんに侵されていない部分を体外で切り分け、再び体内に戻す『自家肺移植』に国内で初めて成功しました。
これにより、手術後の呼吸不全は解消され、軽いスポーツができるまでの呼吸機能が温存されます。
Stage IIIAまでの非小細胞肺がんで、肺の中枢部(肺門)から末梢にかけて広く浸潤しており、気管支・肺動脈など広範囲に切除しなければならない場合、つまり肺全摘を必要とする場合に適応となります。スリーブ切除では危険が伴う場合も適応となります。リンパ節転移が縦隔リンパ節にまで及んでいる場合は放射線・化学療法を先行いたします。
開胸後、がんの浸潤範囲を確認します。肺全摘を行うため心臓に近い、肺の根元の血管や、気管支中枢部を露出します。続いてリンパ節を郭清します。血液が固まって体の中に血栓ができないようにヘパリン化した後、肺全摘をおこないます。摘出された肺は、肺移植チームによりただちに肺保存処理が施されます。肺動脈に挿入したカテーテルより、特殊な肺保存液で肺を還流し、同時に冷却します。
この処置により、肺は体外でも安全に8時間保存できる状態になります。
つづいて体外で癌のない部分を切り分けます。癌が残っていないことを病理検査で確認します。同時に体内の気管支・血管断端にも癌がないことを病理検査します。肺保存処理により、病理検査にも十分な時間をかけることができ、より安全な手術が可能になります。癌がないことの確認が終わると再び体内に戻す自家移植術を行います。これには生体肺移植の技術を使います。岡山大学は国内最多の生体肺移植を行う、肺移植センターでもあります。詳しくは肺移植のページをご覧ください。
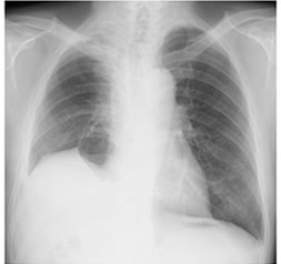
気管支・肺静脈・肺動脈の吻合が終わると、ふたたび血液を流します。自家移植された肺はご自身の肺であり拒絶反応の心配はなく、すぐに機能し始めます。写真は右肺全摘後に右肺下葉の一部(肺底区域)を自家移植された患者さまの3-D CT スキャンとレントゲン写真です。
移植し体内に戻された肺もしっかり機能しているのがわかります。通常2~3週間で退院できます。進行肺癌が対象となっているので、手術後約1ヵ月の時点で術後化学療法を追加いたします。
肺血管も切除するスリーブ切除をするときなど、肺への血流を遮断して手術を行います。肺への血流が遮断されると、その時点から肺は温虚血障害(暖かい状態で酸欠になること)を受けることになり、直接的なダメージを受けます。そのまま放置すると、再び血液を流しても虚血再還流障害をおこし、肺は全く機能しなくなる危険があります。
こういった事態を回避するために考案されたのが自家肺移植です。肺移植の技術を使い、きちんと肺保存処理を行うため肺は体外で8時間保存可能です。この場合の虚血は冷虚血(冷たい状態で保存されている状態)と呼ばれています。肺の細胞は眠った状態となり、虚血による障害を受けにくくなります。実際の自家移植手術では冷虚血時間は平均2時間です。血流遮断中も時間的に余裕をもったより安全な手術が可能になるわけです。